Explore ideas, tips guide and info Dominic Gisborne
Glioblastome Stade 4 Guérison
Glioblastome Stade 4 Guérison
Glioblastome Stade 4 Guérison. Glioblastome Le glioblastome de grade 4, une forme agressive de tumeur cérébrale, représente un défi médical majeur Les patients atteints de cette condition font face à une progression rapide de la maladie, souvent accompagnée de symptômes sévères
Glioblastoma Final Stages Of Glioblastoma Multiforme from glioblastomadenkei.blogspot.com
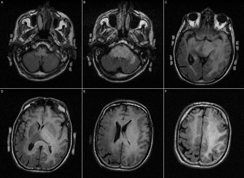
Le glioblastome est une tumeur cérébrale de stade 4 c'est-à-dire très agressive qui touche plus souvent les hommes que les femmes, entre 45 et 70 ans Le glioblastome de grade 4, une forme agressive de tumeur cérébrale, représente un défi médical majeur
Glioblastoma Final Stages Of Glioblastoma Multiforme
Glioblastome: espérance de vie, recherches & innovations thérapeutiques De nombreuses molécules et techniques sont en cours d'exploration afin d'augmenter l'arsenal thérapeutique et l'efficacité des traitements de cette maladie agressive. Mon conjoint est atteint d'un Glioblastome stade 4 diagnostiqué en mai 2016, opération avec exérèse totale ou presque (en vérité la totale n'existe pas), suivi du traitement standard (33 séances de radiothérapie + témodal et ensuite cure de Temodal 5 jours/mois). Le glioblastome (GBM) est la tumeur primitive la plus agressive du SNC
Image. Nous avons analysé les caractéristiques des patients ayant une survie prolongée (LS) Le glioblastome de grade 4 reste un défi majeur dans le domaine de la neurologie et de l'oncologie
La glioblastome, qu'estce que c'est. Nous avons revu les dossiers de 127 patients qui ont bénéficié d'une chirurgie pour un GBM entre janvier 2002 et novembre 2011 dans notre centre. Cette maladie complexe représente un défi pour les équipes soignantes, qui s'efforcent d'apporter des réponses adaptées malgré les limites des traitements actuels